骨移植と歯ぐきの移植を行った前歯のインプラントの症例
症例紹介 抜歯の3ヶ月後にインプラント治療を実施 30代の女性が、右上前歯を失い見た目の改善を希望されて来院されました。診察の結果、歯を失った部分には仮歯が両隣の歯に接着剤で固定されている状態でした。 骨移植が必要であることが判明 患者様は、ご自身の歯を削らない治療を希望され、インプラント治療を選択されました。 しかし、仮歯を外した際に歯ぐきが凹んでいること …

症例紹介 抜歯の3ヶ月後にインプラント治療を実施 30代の女性が、右上前歯を失い見た目の改善を希望されて来院されました。診察の結果、歯を失った部分には仮歯が両隣の歯に接着剤で固定されている状態でした。 骨移植が必要であることが判明 患者様は、ご自身の歯を削らない治療を希望され、インプラント治療を選択されました。 しかし、仮歯を外した際に歯ぐきが凹んでいること …

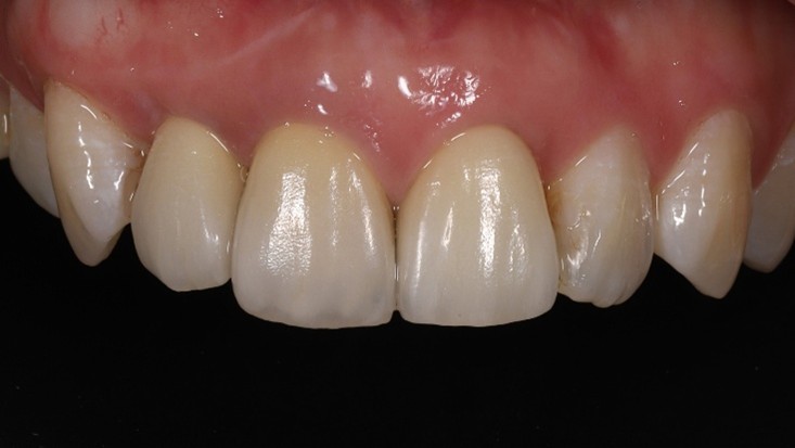
症例紹介 治療前 40代の女性が、20代の頃に右上前歯を失い、それ以来取り外し式の部分入れ歯を使用されていました。見た目の改善と、取り扱いの煩わしさを解消したいとのご希望で、インプラント治療を受けるために当院を受診されました。 インプラント埋め込みと同時に骨と歯ぐきの移植処置を併用 歯を失ってから長い時間が経過していたため、骨と歯ぐきが痩せてしまっている状態 …

症例紹介 治療前 40代の女性が、左上前歯を抜歯した後も痛みが続いているとのことで来院されました。 診察の結果、左上2番目の前歯を1か月前に抜歯されており、もともとインプラント治療を予定されていましたが、不安を感じたため、当院に転院されたとのことでした。 抜歯の3ヶ月後にインプラント治療を実施 装着されていた仮歯を外し、消毒を行ったところ、痛みは消失しました …
シカゴで開催された国際学会で講演を行いました。
アメリカの専門医の前で、当院で行っているインプラント治療テクニックについて発表しました。
大阪大学、大阪歯科大学、鹿児島大学はじめ国内各地でインプラント治療に関する講演、歯科医師へのインプラント指導を行っています。
歯を抜いて、抜いた場所にその日のうちにインプラントを埋め込む治療方法です。
手術回数も減り期間も短縮できる治療のため患者様への負担が少ない治療方法です。
メリットの多い治療法ですので、当院では抜くべき歯の状況を見極めたうえで抜歯即時埋入を行っています。
ただし、歯を残せる可能性があると判断したら、別な治療方法をご提案させて頂く場合もございます。
インプラントは骨の中に埋め込む治療のため、充分な骨の量がないとそのままでは治療ができません。
「骨不足」という問題を解決するのが骨造成法です。
骨が一部分やせてしまった方に対し、骨を増やす手術が出来るようになっています。インプラントの適応が広がり、審美的にも優れたインプラントが可能です。
上顎洞という上顎にある骨の空洞に骨を一部増やす手術です。今までインプラントが難しかった上顎の奥歯にもインプラント治療が可能です。
上顎洞に骨を大掛かりに増やすことの出来る手術法です。インプラントの中でも高難度/最先端の手術で、大阪でも数少ない医院でしか行っていません。今までインプラントをあきらめていた方にもインプラント治療が可能です。
通常ではインプラント治療ができないケースでも骨を増やすことによりインプラント治療が可能になる骨造成法ですが、
技術や経験がないと対応することが難しい処置です。
当院では、骨が少なくてインプラント治療が難しいと言われた患者様からご相談や
同業の先生からの骨造成法の治療依頼を対応しておりますので、どうぞ安心してご相談ください。
前歯に対するインプラントは、奥歯に比べて治療が難しく、高度な診断力や技術、そして適切なアフターケアが求められます。
当院では、口腔内全体をしっかりと診断し、虫歯や歯周病の管理を徹底した上で前歯に対するインプラント治療を行っています。
正しい手順を踏み、適切なメンテナンスを行うことで、インプラントは天然歯とほとんど区別がつかないほど自然で快適な仕上がりとなります。
現在のお悩みや疑問について、詳しくお聞かせください。
例えば、「インプラント以外の治療方法はありますか?」など、どんなご相談でも受け付けています。
レントゲン撮影やCT撮影を行い、現在の状態を詳しく診断します。
診断結果に基づいて、最適な治療計画を提案いたします。
また、詳細な費用見積もりと治療のおおよその期間についてもお知らせいたします。
2024年までで累計1400本以上のインプラントを行いました。当院でも開院以来年々インプラントを希望される患者様が増え、現在では毎週インプラントを行うようになっています。
骨が少なく複雑な手術が必要な方、他院でインプラント治療を断られた方などの割合が多いことも当院の特徴です。
インプラント治療を行うために、完全個室の手術室を用意しています。
インプラント手術に関しては、院長の担当患者様はもちろんのこと、勤務医の担当患者様であっても院長が施術もしくは助手を行います。
難易度の高い手術は、木曜午後の手術専用日に行います。
木曜午後は最大でも2名までの手術に限定しており、一般診療や急患対応は行っていません。
周りの患者様や、時間に追われることなく手術に専念いたします。
*骨がしっかりしている方へのインプラント手術は平日・土曜日にも行っています。
持病をお持ちの方、手術について恐怖感の強い方、一度の手術で何本ものインプラントを行う方、おう吐反射のきつい方などには手術の際、麻酔専門医に手伝ってもらい点滴による麻酔と全身管理を行ってもらうことが可能です。
ウトウトと眠った状態で楽に手術を受けていただけます。
当院では、世界的にも日本国内でもトップシェアを誇るStraumann社製インプラントを使用しています。
50年以上の実績を持ち、かつてはITIインプラントと呼ばれていました。このインプラントは、次のような多くの利点があります。
さらに、ストローマンインプラントは、世界有数の学術団体であるITI(International Team for Implantology)の研究データを基に製品開発されているため、信頼して使用することができます。
当院の院長はストローマン公認インストラクターやITI講師も務めており、確かな技術と知識に基づいたインプラント治療を提供しております。
医療技術は日進月歩です。
安全にインプラントを行うためには技術だけでなく、設備も大切です。
当院では最先端の設備を積極的に導入しています。
従来のレントゲンでは分からなかった骨の厚みや神経や血管の正確な位置をCTスキャンを撮影・解析することで調べることが出来ます。
CTスキャンの解析によって、手術前に手術のリスクや手術法の正確なシュミレーションが出来るようになりました。
安全にインプラントを行うためには欠かせない設備です。
高いレベルで手術を行うために最新の手術用顕微鏡を2013年に導入しました。
肉眼に比べ高倍率で拡大して見ながら手術が出来るので、より低侵襲、治りの早い手術が可能になりました。
1mmの精度にこだわったインプラント治療を行っています。
インプラント関連の機材は日々進歩しています。
新しい機材、新たな手術法を取り入れることで、成功率を上げることや、手術時間を短縮する事、手術の不快感や、手術後の腫れを減らす事が出来ます。
手術の理論や原則は不変なのですが、患者様のために有益な機材や手術法は常に導入し続けています。
インプラントを長持ちさせるためには、歯科医院での定期的なメンテナンスが欠かせません。
特に歯周病対策・歯周病予防を行うことが何よりも大切です。
それはインプラントは虫歯にはなりませんが、歯周病には”ご自身の歯よりも”なりやすいからです。
インプラントを支える骨が歯周病で溶けてしまう病気を「インプラント周囲炎」といい、せっかく埋めたインプラントが抜けてしまう大きな要因となっています。
そんな問題が起きないように、当院では担当衛生士が定期的(問題の無い方は3か月毎が目安)にフォローをさせていただき、チェック・クリーニングを行う体制にしています。
定期的なメンテナンスに来院していただいた場合には、インプラント本体で10年、上にかぶせる冠で5年間の保証を行っております。
円
基本検査+インプラント手術+
アバットメント+セラミック冠+10年保証
44万円(税込)
基本検査+インプラント手術+
オーダーメイドアバットメント+
ジルコニアセラミック冠+10年保証
49.5万円(税込)万円 (税込)/増やす量と範囲により異なる
万円 (税込)/片顎万円 (税込)/片顎万円 (税込)/1本万円 (税込)/1本万円 (税込)/1本万円 (税込)/1本万円 (税込)/片顎万円 (税込)/1本万円 (税込)/1本*万円 (税込)
・私立高槻中学・高校卒(1994年)
・国立広島大学歯学部卒(2001年)
・神戸市 まつだ歯科勤務
まつだ歯科副院長
・豊中市 まとば歯科副院長
・豊中市 ますだ歯科医院開設(2008年)
・医療法人ライフスマイル開設(2014年)
・ニューヨーク大学インプラント科
短期留学プログラム卒業(2016年)